Definition : teleradiology
Main Entry: tele•ra•di•ol•o•gy
Pronunciation: "tel-&-"rAd-E-'äl-&-jE
Function: noun
Inflected Form: plural -gies
: radiology concerned with the transmission of digitized medical images (as X rays, CT, MRI scans and sonograms) over electronic networks and with the interpretation of the transmitted images for diagnostic purposes
 
 
September 2005 - Intracerebral Tuberculomas

Monthly Cases

 

 

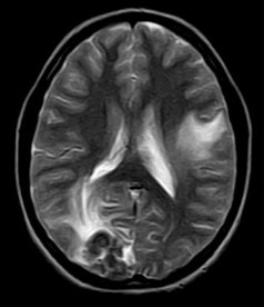
There is a conglomeration of lesions in the right temporo-parieto-occipital and left frontal lobes. These are hypointense on the T2W images and reveal a whorl or bunch of grapes type of enhancement. Note is made of perilesional edema.

On MRI

On plain MRI, granulomas usually appear isointense to gray matter on the T1W images and may have a slightly hyperintense rim (probably due to the presence of paramagnetic substances). On T2W images, the tuberculomas exhibit variable signal. They are often isointense or hypointense to brain parenchyma and it is postulated that this relative hypointensity is related to T2 shortening by paramagnetic free radicals produced by macrophages, which are heterogeneously distributed throughout the caseous granuloma. The diminished signal on T2W images may also be due to the mature tuberculoma being of greater cellular density than brain. Granulomas may also be hyperintense to brain on T2-weighted images; this is likely due to a greater degree of central liquefactive necrosis in these lesions. Edema surrounding tuberculomata is relatively more prominent in the early stages of granuloma formation.


Post contrast (gadolinium) images of TB granulomas demonstrate intense nodular and ring-like enhancement. Healed tuberculomas may calcify in up to 20% of cases and these are usually more evident on CT than MRI. On MRI, the calcifications are more evident on gradient-echo than on spin-echo imaging. Atrophy is frequently a long-term sequelae of tuberculous CNS infection. Full resolution of cerebral tuberculomas requires months to years of medical therapy. The length of time required is related more to the size of the original lesion than to any other single factor.
Meningeal disease and non-enhancing lesions are commonly encountered in HIV positive patients.


Copyright © 2008 Scanris, LLC.  All rights reserved
Terms and Conditions | Privacy Statement